ENCEFALOPATIA HIPÓXICO-ISQUÊMICA
Este termo é usado para descrever neonatos maduros (gestação> 37 semanas) que apresentam sinais de angústia fetal antes da parto, que têm pontuação Apgar anormal e requer ressuscitação no nascimento e que apresentam anormalidades neurológicas específicas durante as primeiras 24h após o parto.
Os sinais de dificuldade fetal incluem gravações anormal de cardiotocografia, como variabilidade diminuída, desaceleração tardia (DIPS tipo II) e bradicardia basal <100 / min com ou sem líquor corado com mecônio.
![]() |
| Pathological antenatal CTG. Note loss of variability and an unprovoked deceleration. |
Um pH do couro cabeludo fetal inferior a 7,2 é também indicativo de hipoxia fetal, embora os valores de <7,0 sejam geralmente encontrados. Os sinais neurológicos anormais no EHI incluem dificuldades de alimentação, irritabilidade, anormalidades do tônus, convulsões e diminuição do nível consciência.
- Classificação da EHI segundo Sarnat & Sarnat

Embora os recém nascidos prematuros estejam em alto risco de asfixia, o estadio HIE deve ser reservado para bebês a termo. Apesar das melhorias nos cuidados perinatais no mundo desenvolvido, a asfixia continua a ser uma das principais causas de mortalidade, resultando em até 25% da mortalidade e morbidade perinatal e dando origem a entre 8 e 15% de todos os casos de paralisia cerebral.
MÉTODOS DE IMAGEM NA EHI:
- US CRANIANO: A ultra-sonografia craniana é valiosa para identificar edema cerebral e hemorragia parenquimatosa ou intraventricular. As áreas de infarto parenquimatoso podem levar vários dias para serem visualizadas como uma densidade de eco. A ultra-sonografia craniana sempre fornecerá um método para rastrear e monitorar a evolução das lesões, mas não é tão bom quanto a ressonância magnética na determinação do local exato e extensão das lesões. A combinação de ultra-som craniano e ressonância magnética é ideal para avaliar o cérebro neonatal.
- TOMOGRAFIA COMPUTADORIZADA DE CRÂNIO
- RESSONÂNCIA MAGNÉTICA DE ENCÉFALO
Early findings that may be identified during the first week after birth
| Brain swelling |
| Loss of the normal signal in the posterior limb of the internal capsule |
| Abnormal signal intensities in the basal ganglia and thalami |
| Brain stem lesions |
| Loss of gray/white matter differentiation |
| Cortical highlighting (T1 weighted sequences) |
| Brain Swelling showing slit-like ventricles, complete ‘closure’ of the interhemispheric fissure and no visible extracerebral space or sulci. |
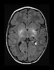
| Ausência do hipersinal em globo pálido esperado e presença de hipersinais em tálamo e gânglios da base. |
| Alterações em núcleo ventro-lateral do tálamo e Putâmen |
- A asfixia aguda grave está associada a lesões nos gânglios basais, tálamo, tronco encefálico, hipocampo e tratos corticoespinhais em torno da fissura central. Isso foi denominado envolvimento cortico-subcortical central. Este é o padrão mais comum de lesões após a angústia fetal aguda durante as contrações e o parto.
- Em alguns casos, a causa da EHI ou da perda fetal é óbvia, por exemplo, desprendimento da placenta, acidente do cordão ou suposto estresse cardiovascular durante um parto difícil. Em muitos outros, é difícil identificar. Fatores pré-natais (eclampsia, hipercoagulabilidade e outras condições maternas, patologia placentária) aumentam o risco de um desfecho adverso, mas a encefalopatia neonatal e a morte fetal podem ocorrer sem fatores predisponentes. Em alguns casos, a encefalopatia neonatal se desenvolve no período pós-natal como resultado de choque séptico, circulação fetal persistente e outras causas. Além disso, a patologia que se desenvolve inicialmente antes ou durante o nascimento, por exemplo, aspiração de mecônio, desempenha-se no período pós-natal, aumentando o insulto inicial.
- Os bebês com insultos crônicos, possivelmente repetitivos, são mais propensos a mostrar anormalidades dentro do córtex e da substância branca. Isso pode ter uma distribuição parasagital clássica, envolvendo o território entre as principais artérias → Os insultos pré-natais repetidos nessas crianças são manejados para predominar a substância branca, desviando o sangue para partes metabolicamente mais ativas do cérebro em desenvolvimento, como os gânglios basais e o tálamo.
| Borderzone lesions |
- Uma predileção semelhante para os gânglios basais e tronco encefálico é vista na síndrome de Leigh, uma encefalopatia mitocondrial que afeta crianças pequenas.
- O infarto de matéria branca maior também pode ser observado em lactentes que possuem outros fatores predisponentes, como hipoglicemia.
- HIE perinatal grave pode fazer com que o córtex e a substância branca se "derretem" até tal ponto que o cérebro é reduzido a um saco de paredes finas, semelhante à hidranencefalia. Em outros casos, a destruição do córtex e da matéria branca resulta na formação de múltiplas cavidades atravessadas por uma rede de fios de glial delicados. As cavidades contêm fluidos, detritos e macrófagos. Esta entidade é chamada de encefalomalácia cística ou encefalopatia multicística.
| Multicystic encephalopathy. |
- O dano cortical é sempre mais grave nas partes mais profundas dos sulcos, enquanto os giros são menos afetadas. Isso leva à formação de giro em forma de cogumelo. As coroas visíveis desses giros podem ser relativamente normais ou atróficas, mas suas partes mais profundas são prejudicadas. O termo "ulegyria" (giro com cicatrizes) refere-se a atrofia giral e gliose.
| Ulegyria |
- O dano causado pelos ganglios talâmicos e basais causa, ao longo do tempo, perda de neurônios, mineralização de neurônios danificados e gliose. Um padrão anormal ou excessivo de mielina se desenvolve em alguns casos. As manchas irregulares de mielina densa, misturadas com zonas glioticas, dão ao tálamo e aos gânglios basais uma aparência marmoreada a olho nu, uma condição chamada status marmoratus.
- O hipocampo é menos freqüentemente afetado do que no HIE adulto. Em alguns casos, no entanto, observa-se o dano combinado do hipocampo e da ponte (pontosubicular necrosis). A patogênese deste padrão incomum não é clara. Em alguns casos, HIE perinatal causa perda bilateral de neurônios piramidais do hipocampo, semelhante ao HIE adulto. A ressonância magnética em tais casos mostra a atrofia do hipocampo. Esta lesão causa amnésia do desenvolvimento.
A patogênese de HIE no período do recém-nascido envolve os mesmos mecanismos que também estão presentes em adultos, a saber, a crise de energia por hipoxia-isquemia, acidose lática, excitotoxicidade e radicais livres, mas existem alguns modificadores importantes, que representam diferentes padrões de patologia em recém-nascidos. Os mecanismos de defesa antioxidante não estão totalmente desenvolvidos em recém-nascidos; os padrões de neurotransmissão glutamatérgica estão evoluindo e os receptores de glutamato são mais abundantes em núcleos profundos do que no córtex; o mielíno está em grande parte ausente no centrum semiovale; o cérebro neonatal tem um teor de água muito maior.

STATUS MARMORATUS
Status marmoratus is the presence in full-term infants of basal nucleus lesions resulting from acute total asphyxia. The lesions have a marbled appearance caused by neuronal loss and an overgrowth of myelin in the putamen, caudate, and thalamus.
Fontes:
https://myradnotes.wordpress.com/2012/04/12/status-marmoratus/
http://www.mrineonatalbrain.com/ch04-06.php#case-6-5
http://neuropathology-web.org/chapter3/chapter3bAsphyxia.html
http://slideplayer.com.br/slide/1799210/
http://slideplayer.com/slide/6293168/
Google Image



0 comentários:
Postar um comentário